2022. 10. 21. 22:29ㆍ카테고리 없음
- 목차
편도결석 제거법
안녕하세요 ~ 오늘은 편도결석 제거법에 대해서 알아볼겁니다. 우선 편도결석에 대해서 알아볼텐데요. 혹시 본인 입에서 구취가 심하거나 양치질을 해도 입냄새가 계속 난다면 편도에 자리잡은 편도결석이 그 원인이 될 수 있습니다. 저도 한때는 그런적이 있습니다.

편도결석이란??
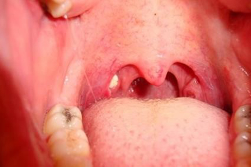
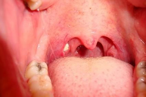
편도선에 자리한 작은 구멍인 편도에 세균이나 음식물찌꺼기가 뭉쳐서 돌처럼 굳어진 것을 말하며 이러한 편도결석은 냄새가 굉장히 역하고 한번 생기기 시작하면 반복되는 경향이 있습니다. 입냄새 뿐만 아니라 목의 통증이나 이물감을 유발하기도 합니다.
편도결석이 생기는 원인
원인은 다양한데 평소에 구강을 청결하지 않게 관리하여 구강내에 세균이 증식하는 경우도 있으며 편도선염, 비염, 축농증 등이 편도결석의 원인이 됩니다.
![]() |
![]() |
다만 편도결석 자체가 건강에 심각한 영향을 주는건 아니지만 입냄새가 심한게 큰 고민이 되는 것입니다. 목의 이물감이 일상생활에 불편함을 느낄 수 있기에 한시라도 빨리 없애버리는게 좋습니다.
편도결석 제거방법
편도결석은 기침을 하거나 가래를 뱉을 때, 양치질을 할 때 저절로 빠지는 경우도 있지만 편도결석을 제거하는 방법중 하나는 면봉을 이용한 방법으로 거울을 보면서 결석의 주변을 면봉으로 눌러주면 구멍안에 있던 결석들이 조금씩 나오게 됩니다.
가글을 이용하는 방법도 있는데요. 가글은 입안의 음식물 찌꺼기가 남지 않도록 도와주기 때문에 치아와 잇몸 건강에 도움을 주고 편도결석을 자연스럽게 빠지게 도와줍니다.
![]() |
![]() |
편도결석 흡입기를 이용해 혼자서 제거하기도 하며 편도결석에 좋은 음식으로는 배, 파인애플, 무 등이 있는데 이같은 음식들은 편도가 붓거나 염증이 심할 때 염증을 가라앉게 해주는 효과가 있어서 섭취하면 좋습니다.
다만 위에 방법들은 본인이 직접하는 것이기에 안전하다고 볼 수 없기때문에 이비인후과를 방문하여 편도결석을 제거하는 방법을 추천드립니다.
편도결석 예방법
제거하는 방법도 중요하지만 안생기게 예방하는 방법도 중요하겠죠. 평소에 편도결석이 생기는 것을 예방하려면 탄산이 들어간 음료수, 커피, 음주, 흡연을 멀리하고 구강이 건조하지 않도록 물을 자주 섭취해야 하며 규칙적인 양치질로 평소에 구강의 상태를 깨끗하게 유지하고 관리해야 합니다.
금연 후 신체변화 알아보기
금연 후 신체변화 알아보기 우리 주변에는 흡연을 하는사람들이 정말 많습니다. 사실 저도 지금 6년을 넘게 흡연을 하고있는 사람입니다. 흡연은 중독성이 매우 강해서 한번 시작하게 되면 끊기
women-daily.si-a.kr
구내염 원인 헤르페스성 알아보기
구내염 원인 헤르페스성 알아보기 스트레스로 인해 피로가 오면, 우리 몸은 "휴식하라"는 신호를 보냅니다. 몸이 피로해지면 감기에 걸리고 몸살이 나는 등 다양한 증상이 나타나지만 그중에서
women-daily.si-a.kr



